Bệnh nha chu (Periodontitis) là một bệnh nhiễm trùng nướu nghiêm trọng làm tổn thương mô mềm và phá hủy xương xung quanh răng. Viêm nha chu có thể khiến răng bị lỏng hoặc dẫn đến mất răng.
Viêm nha chu là bệnh phổ biến và có thể phòng ngừa được. Nguyên nhân của bệnh thường là do vệ sinh răng miệng kém. Đánh răng ít nhất hai lần/ngày, dùng chỉ nha khoa hàng ngày và kiểm tra răng miệng thường xuyên có thể phòng ngừa bệnh viêm nha chu thành công và làm giảm cơ hội phát triển nặng hơn của bệnh.
Vậy bệnh nha chu là gì, nguyên nhân và cách điều trị ra sao?
Nguyên nhân bệnh Nha chu
Trong hầu hết các trường hợp, viêm nha chu bắt đầu bằng mảng bám – một màng dính vào răng bao gồm chủ yếu là vi khuẩn. Nếu không được điều trị, răng sẽ có thể bị viêm nha chu:
- Mảng bám trên răng khi ăn tinh bột và đường tương tác với vi khuẩn trong khoang miệng. Đánh răng hai lần một ngày và dùng chỉ nha khoa mỗi ngày sẽ loại bỏ mảng bám, nhưng các mảng bám này sẽ lại hình thành nhanh chóng.
- Mảng bám có thể cứng lại dưới đường viền nướu và lâu ngày sẽ trở thành cao răng. Cao răng sẽ khó để loại bỏ hơn là mảng bám và nó cũng chứa đầy vi khuẩn. Mảng bám và cao răng càng nhiều trên răng thì càng gây ra nhiều thiệt hại. Chúng ta không thể loại bỏ cao răng bằng cách đánh răng và dùng chỉ nha khoa mà phải cần đến nha sĩ để loại bỏ nó.
- Mảng bám có thể gây viêm nướu, dạng bệnh nha chu nhẹ nhất. Viêm nướu là tình trạng nướu bị kích thích và viêm một phần nướu xung quanh chân răng. Viêm nướu có thể được chữa trị hoàn toàn khi được điều trị đúng cách và chăm sóc răng miệng tốt tại nhà.
- Viêm nướu trường diễn có thể gây viêm nha chu, cuối cùng làm cho túi nha chu phát triển giữa nướu và răng của bạn chứa đầy mảng bám, cao răng và vi khuẩn. Theo thời gian, các túi này trở nên sâu hơn, chứa nhiều vi khuẩn hơn. Nếu không được điều trị, những nhiễm trùng sâu này gây mất mô nướu và xương, và cuối cùng người bệnh có thể mất một hoặc nhiều răng. Ngoài ra, viêm mãn tính liên tục có thể gây căng thẳng, suy yếu hệ thống miễn dịch của người bệnh.

Triệu chứng bệnh Nha chu
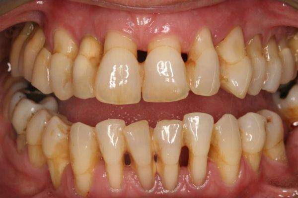
Nướu khỏe mạnh có màu hồng, cứng và vừa khít quanh răng. Các triệu chứng của bệnh nha chu có thể bao gồm:
- Nướu bị sưng
- Nướu có màu đỏ tươi, đỏ sẫm
- Nướu dễ chảy máu
- Nướu không bao chặt răng, làm cho răng trông dài hơn bình thường
- Có khoảng trống mới phát triển giữa răng và nướu
- Mủ giữa răng và nướu
- Hôi miệng
- Răng lung lay
- Đau khi nhai
- Người bệnh chọn phía bên không đau để nhai thức ăn
Có một số loại bệnh nha chu viêm khác nhau. Các loại phổ biến gồm những loại sau đây:
- Viêm nha chu mãn tính là loại phổ biến nhất, ảnh hưởng đến hầu hết người lớn, mặc dù trẻ em cũng có thể bị ảnh hưởng. Loại này được gây ra bởi sự tích tụ mảng bám, theo thời gian gây ra sự phá hủy nướu và xương, cuối cùng sẽ bị mất răng nếu không được điều trị.
- Viêm nha chu tấn công thường bắt đầu ở thời thơ ấu hoặc thời gian đầu của tuổi trưởng thành. Bệnh này có xu hướng theo gia đình dẫn đến mất xương nhanh chóng và mất răng nếu không được điều trị.
- Bệnh nha chu hoại tử được đặc trưng bởi mô nướu bị chết, dây chằng răng và xương hỗ trợ do thiếu nguồn cung cấp máu dẫn đến hoại tử và nhiễm trùng nặng. Loại này thường xảy ra ở những người có hệ thống miễn dịch bị ức chế như nhiễm HIV, điều trị ung thư hoặc các nguyên nhân khác và suy dinh dưỡng.
Biến chứng của bệnh nha chu
Bệnh nha chu có thể gây mất răng. Và một số nghiên cứu đã cho thấy rằng vi khuẩn gây bệnh viêm nha chu có thể xâm nhập vào máu của người bệnh thông qua mô nướu, dẫn đến ảnh hưởng đến tim, phổi và các bộ phận khác của cơ thể. Ví dụ, viêm nha chu có thể liên quan đến bệnh hô hấp, viêm khớp dạng thấp, bệnh động mạch vành hoặc đột quỵ.
Đường lây truyền bệnh Nha chu
Bệnh nha chu không lây truyền từ người mắc bệnh sang người khoẻ mạnh.
Đối tượng nguy cơ bệnh Nha chu
Các yếu tố có thể làm tăng nguy cơ bệnh nha chu bao gồm:
- Viêm nướu
- Thực hiện chăm sóc răng miệng kém
- Hút thuốc hoặc nhai thuốc lá
- Càng lớn tuổi
- Thay đổi nội tiết tố như mang thai hoặc giai đoạn mãn kinh
- Lạm dụng chất gây nghiện
- Béo phì
- Dinh dưỡng không đầy đủ, bao gồm thiếu vitamin C
- Di truyền theo gia đình
- Một số loại thuốc gây khô miệng hoặc ảnh hưởng đến nướu
- Các điều kiện khiến suy giảm hệ thống miễn dịch như bệnh bạch cầu, HIV/AIDS và điều trị ung thư
- Một số bệnh khác như bệnh tiểu đường, viêm khớp dạng thấp và bệnh Crohn

Phòng ngừa bệnh Nha chu
Cách tốt nhất để ngăn ngừa bệnh nha chu là tuân thủ tốt vệ sinh răng miệng nên bắt đầu sớm và thực hành nhất quán trong suốt cuộc đời.
- Vệ sinh răng miệng tốt. Điều đó có nghĩa là đánh răng trong hai phút ít nhất hai lần mỗi ngày vào buổi sáng và trước khi đi ngủ, dùng chỉ nha khoa ít nhất một lần một ngày. Dùng chỉ nha khoa trước khi đánh răng sẽ làm sạch các mảng thức ăn và vi khuẩn.
- Khám răng thường xuyên. Gặp nha sĩ hoặc vệ sinh răng miệng, lấy mảng bám/cao răng ít nhất 6 đến 12 tháng một lần. Nếu có các yếu tố nguy cơ làm tăng khả năng bị viêm nha chu như khô miệng, uống một số loại thuốc hoặc hút thuốc, đối với những đối tượng này thường được khuyên đến khám răng miệng và vệ sinh răng miệng thường xuyên hơn bởi bác sĩ nha khoa.
Các biện pháp chẩn đoán bệnh Nha chu
Để xác định liệu người bệnh có bị viêm nha chu hay không và mức độ nghiêm trọng của bệnh, nha sĩ sẽ thực hiện như sau:
- Hỏi về tiền sử bệnh tật hoặc các yếu tố có thể góp phần làm xuất hiện hoặc nặng hơn vào các triệu chứng như hút thuốc hoặc dùng một số loại thuốc gây khô miệng.
- Kiểm tra miệng để tìm kiếm mảng bám và cao răng tích tụ và đánh giá xem có dễ chảy máu không.
- Đo độ sâu túi nha chu giữa rãnh của nướu và răng bằng cách đặt một đầu dò nha khoa bên cạnh răng và bên dưới đường viền nướu. Nếu nướu còn khỏe mạnh thì độ sâu của túi thường nằm trong khoảng từ 1 đến 3 mm. Nếu túi sâu hơn 4 mm có thể chỉ ra viêm nha chu và nếu sâu hơn 6 mm thì không thể được làm sạch hẳn.
- Chụp X-quang nha khoa để kiểm tra tình trạng mất xương ở những khu vực mà nha sĩ đã kiểm tra về độ sâu túi.

Các biện pháp điều trị bệnh Nha chu
Điều trị có thể được thực hiện bởi bác sĩ nha chu, nha sĩ hoặc nhân viên vệ sinh nha khoa. Mục tiêu của cách chữa bệnh nha chu là làm sạch triệt để các túi xung quanh răng và ngăn ngừa tổn thương cho xương xung quanh. Người bệnh có cơ hội điều trị thành công khi áp dụng thói quen chăm sóc răng miệng tốt hàng ngày và ngừng sử dụng thuốc lá.
Phương pháp điều trị không phẫu thuật. Nếu viêm nha chu không tiến triển, điều trị có thể bao gồm các thủ tục ít xâm lấn hơn như:
- Cạo vôi để loại bỏ cao răng và vi khuẩn khỏi bề mặt răng và bên dưới nướu. Nó có thể được thực hiện bằng dụng cụ, laser hoặc thiết bị sóng siêu âm.
- Bào láng gốc răng (Root planing) làm mịn bề mặt chân răng, ngăn chặn tích tụ cao răng và vi khuẩn và loại bỏ các sản phẩm phụ của vi khuẩn góp phần gây viêm/trì hoãn chữa lành hoặc gắn lại nướu lại lên bề mặt răng.
- Kháng sinh. Kháng sinh tại chỗ hoặc uống có thể giúp kiểm soát nhiễm khuẩn. Thuốc kháng sinh tại chỗ có thể bao gồm nước súc miệng kháng sinh hoặc bôi gel có chứa kháng sinh vào khoảng trống giữa răng và nướu hoặc vào túi sau khi làm sạch sâu. Tuy nhiên, kháng sinh đường uống có thể cần thiết để loại bỏ hoàn toàn vi khuẩn gây nhiễm trùng.
Phương pháp điều trị phẫu thuật. Nếu bị viêm nha chu tiến triển, bác sĩ có thể chỉ định điều trị bằng phẫu thuật nha khoa như:
- Phẫu thuật giảm túi (Flap surgery). Bác sĩ nha chu thực hiện các vết rạch nhỏ trong nướu, để lộ chân răng để có khoảng rộng để thực hiện cao vôi và bào láng gốc răng hiệu quả hơn.
- Ghép mô liên kết lấp đầy. Khi người bệnh bị mất mô nướu, đường viền nướu của sẽ bị thụt xuống dưới do đó người bệnh cần phải mô khác để thay thế để răng được vững chắc. Điều này thường được thực hiện bằng cách lấy một lượng nhỏ mô từ vòm miệng hoặc chỗ khác và gắn vào vị trí bị mất nướu. Điều này có thể giúp giảm tình trạng thụ nướu hơn nữa, che phủ chân răng bị lộ và tăng tính thẩm mỹ cho răng của người bệnh.
- Ghép xương (Bone grafting). Phương pháp này được thực hiện khi viêm nha chu đã phá hủy xương xung quanh chân răng. Mảnh ghép có được lấy từ các mảnh xương nhỏ của người bệnh hoặc xương tổng hợp hoặc hiến tặng. Ghép xương giúp ngăn ngừa mất răng bằng cách giữ răng cố định, tạo nền tảng cho xương được tái tạo lại.
- Protein kích thích mô. Một kỹ thuật khác liên quan đến việc sử dụng một loại gel đặc biệt bôi vào chân răng bị bệnh. Gel này chứa các protein tương tự được tìm thấy trong sự phát triển men răng và kích thích xương và mô phát triển khỏe mạnh




